ycliper

Популярное

Музыка Кино и Анимация Автомобили Животные Спорт Путешествия Игры Юмор

Интересные видео

2025 Сериалы Трейлеры Новости Как сделать Видеоуроки Diy своими руками

Топ запросов

смотреть а4 schoolboy runaway турецкий сериал смотреть мультфильмы эдисон
Скачать

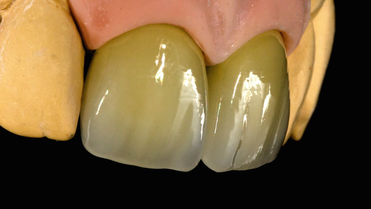
Нанесение GC MC INITIAL на 11|12 зубы

Автор: IDLab

Загружено: 2018-07-02

Просмотров: 17238

Описание: Привет, в этом видео вы увидите как наносят керамическую массу gc mc initial на 11|12 зубы
В частности как проявляется дентиновые эффекты in-45, fd-92 а также эмалевые эффекты ct-24, cl-f, tn, to.

Не удается загрузить Youtube-плеер. Проверьте блокировку Youtube в вашей сети.
Повторяем попытку...
Нанесение GC MC INITIAL на 11|12 зубы

Поделиться в:

Доступные форматы для скачивания:

Скачать видео

  • Информация по загрузке:

Скачать аудио

Похожие видео

How to Make #31 Molar Porcelain Crown

How to Make #31 Molar Porcelain Crown

Нанесение керамики. 3 единицы. Мостик

Нанесение керамики. 3 единицы. Мостик

Individuelle Schichtung mit HeraCeram Zirkonia 750 (DE)

Individuelle Schichtung mit HeraCeram Zirkonia 750 (DE)

Initial MC GC

Initial MC GC

Нанесение Noritake ex-3

Нанесение Noritake ex-3

MiYo Color + Structure

MiYo Color + Structure

Simple Layering, Great Aesthetics | VITA LUMEX AC Tutorial

Simple Layering, Great Aesthetics | VITA LUMEX AC Tutorial

Кольцо с зубом из GC MC Initial

Кольцо с зубом из GC MC Initial

Работа с керамической массой Ультропалин

Работа с керамической массой Ультропалин

GC Initial стартовый набор . DistriSol краски . Нанесение керамики и  ощущения. Зубной техник.

GC Initial стартовый набор . DistriSol краски . Нанесение керамики и ощущения. Зубной техник.

Облицовка керамических колпачков из HeraCeram Press керамикой HeraCeram

Облицовка керамических колпачков из HeraCeram Press керамикой HeraCeram

EX-3 SPEED ENAMEL: una sola cottura bi-strato

EX-3 SPEED ENAMEL: una sola cottura bi-strato

Металлокерамика Style. Нанесение порошкового опакера.

Металлокерамика Style. Нанесение порошкового опакера.

Kazunobu Yamada   Wipe off Tech Yamada UTMLA35

Kazunobu Yamada Wipe off Tech Yamada UTMLA35

Wax-up или зачем нужна цифра

Wax-up или зачем нужна цифра

Oliver Brix IDD

Oliver Brix IDD

2-Layer build up

2-Layer build up

CZR Core&Shell - Step 1

CZR Core&Shell - Step 1

Initial LISI Press

Initial LISI Press

The Single Central with GC Initial

The Single Central with GC Initial

© 2025 ycliper. Все права защищены.



  • Контакты
  • О нас
  • Политика конфиденциальности



Контакты для правообладателей: [email protected]