ycliper

Популярное

Музыка Кино и Анимация Автомобили Животные Спорт Путешествия Игры Юмор

Интересные видео

2025 Сериалы Трейлеры Новости Как сделать Видеоуроки Diy своими руками

Топ запросов

смотреть а4 schoolboy runaway турецкий сериал смотреть мультфильмы эдисон
Скачать

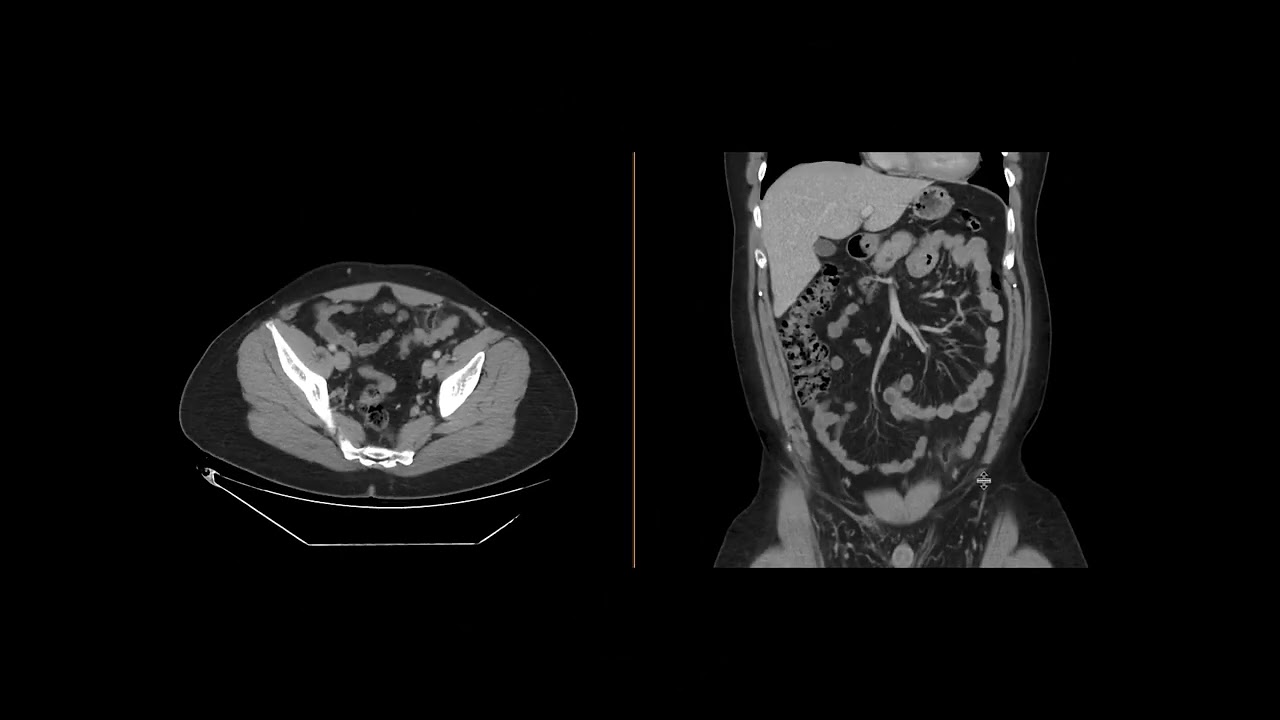
Epiploic appendagitis (Ahuja AT et al; 2017) Book: Essential Radiology

Автор: Essential Radiology by Professor Ahuja et al

Загружено: 2017-09-03

Просмотров: 259

Описание: Axial CECT shows a circumscribed fat density lesion in right upper abdomen. There is central hyperdense dot representing a thrombosed vessel. Features are compatible with epiploic appendagitis.

Не удается загрузить Youtube-плеер. Проверьте блокировку Youtube в вашей сети.
Повторяем попытку...
Epiploic appendagitis (Ahuja AT et al; 2017) Book: Essential Radiology

Поделиться в:

Доступные форматы для скачивания:

Скачать видео

  • Информация по загрузке:

Скачать аудио

Похожие видео

Charlotte Yoon  Presents on Epiploic Appendigitis

Charlotte Yoon Presents on Epiploic Appendigitis

Epiploic Appendagitis

Epiploic Appendagitis

Epiploic Appendagitis

Epiploic Appendagitis

How to diagnose Acute Appendicitis on CT in 4 Steps - Radiology Medical Imaging Pearls, Tips, Tricks

How to diagnose Acute Appendicitis on CT in 4 Steps - Radiology Medical Imaging Pearls, Tips, Tricks

Epiploic appendigitis

Epiploic appendigitis

It Was A Bad Day for Merchant Mariners in the Strait of Hormuz | March 11, 2026

It Was A Bad Day for Merchant Mariners in the Strait of Hormuz | March 11, 2026

Pneumopathie infectieuse excavée : scanner & angioscanner

Pneumopathie infectieuse excavée : scanner & angioscanner

7 Things Destroying Your Blood Pressure (That No One Talks About)

7 Things Destroying Your Blood Pressure (That No One Talks About)

Россия победила в войне / Официальное заявление МИД

Россия победила в войне / Официальное заявление МИД

Epiploic appendagitis: what the heck is that?

Epiploic appendagitis: what the heck is that?

Une sarcoïdose floride... et un scanner typique !

Une sarcoïdose floride... et un scanner typique !

Apendagite epiplóica

Apendagite epiplóica

Отшельники Урала. 700 км по реке к деревням без электричества, дорог и связи

Отшельники Урала. 700 км по реке к деревням без электричества, дорог и связи

Полумировая война

Полумировая война

Сделал тату грязной иглой: #монолог парализованного «айтишника»

Сделал тату грязной иглой: #монолог парализованного «айтишника»

Острый аппендицит на КТ - видеоурок по радиологии

Острый аппендицит на КТ - видеоурок по радиологии

🤯Гиркин СРОЧНО ОБРАТИЛСЯ к россиянам! ПОСЛАЛ Путина из СИЗО. РАЗНЕС

🤯Гиркин СРОЧНО ОБРАТИЛСЯ к россиянам! ПОСЛАЛ Путина из СИЗО. РАЗНЕС "СВО". КАЗАНСКИЙ & НАКИ. Лучшее

КОМОК и Слизь В ГОРЛЕ Это НЕ Простуда! Доктор Мясников

КОМОК и Слизь В ГОРЛЕ Это НЕ Простуда! Доктор Мясников

Масштабный удар по военным / Убит генерал

Масштабный удар по военным / Убит генерал

© 2025 ycliper. Все права защищены.



  • Контакты
  • О нас
  • Политика конфиденциальности



Контакты для правообладателей: [email protected]