ycliper

Популярное

Музыка Кино и Анимация Автомобили Животные Спорт Путешествия Игры Юмор

Интересные видео

2025 Сериалы Трейлеры Новости Как сделать Видеоуроки Diy своими руками

Топ запросов

смотреть а4 schoolboy runaway турецкий сериал смотреть мультфильмы эдисон
Скачать

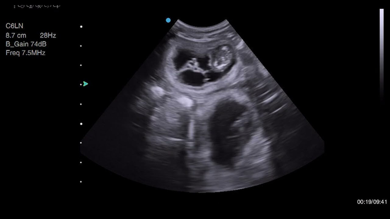
Two Feline Pregnancy Scans

Автор: Animal Ultrasound Association

Загружено: 2023-06-24

Просмотров: 10030

Описание: Two cats came for their pregnancy scans today, both at similar stages of gestation. We used the ScanPad and Apogee 2300 to confirm pregnancy.

Не удается загрузить Youtube-плеер. Проверьте блокировку Youtube в вашей сети.
Повторяем попытку...
Two Feline Pregnancy Scans

Поделиться в:

Доступные форматы для скачивания:

Скачать видео

  • Информация по загрузке:

Скачать аудио

Похожие видео

Maine Coon 24 Day Gestation Pregnancy Scan

Maine Coon 24 Day Gestation Pregnancy Scan

How to calculate gestational age in felines using biparietal (head) diameter

How to calculate gestational age in felines using biparietal (head) diameter

CAT PREGNANCY TIME LAPSE WEEK 1-9 (4 KITTENS) | PERKEMBANGAN KUCING HAMIL MINGGU 1-9 | Paw Pawers

CAT PREGNANCY TIME LAPSE WEEK 1-9 (4 KITTENS) | PERKEMBANGAN KUCING HAMIL MINGGU 1-9 | Paw Pawers

How to choose a veterinary ultrasound machine for pregnancy scanning

How to choose a veterinary ultrasound machine for pregnancy scanning

Кошачий 5-точечный брюшной POCUS

Кошачий 5-точечный брюшной POCUS

Alpaca Pregnancy Confirmation Scans in Kent

Alpaca Pregnancy Confirmation Scans in Kent

Образовательный контент: от оплодотворения до родов | 3D-медицинская анимация | от Dandelion Team

Образовательный контент: от оплодотворения до родов | 3D-медицинская анимация | от Dandelion Team

Минус 25 кг — симптом, который нельзя игнорировать. Памяти Ольги

Минус 25 кг — симптом, который нельзя игнорировать. Памяти Ольги

FAITH - Soaking worship instrumental | Prayer and Devotional

FAITH - Soaking worship instrumental | Prayer and Devotional

Mom's life in Japan | 24hours | The first part

Mom's life in Japan | 24hours | The first part

การปรับเครื่องอัลตราซาวด์เบื้องต้น (Basic Knobology) EP01

การปรับเครื่องอัลตราซาวด์เบื้องต้น (Basic Knobology) EP01

Pregnant Bengal Cat from week 1 to week 9 - Cat Full Pregnancy

Pregnant Bengal Cat from week 1 to week 9 - Cat Full Pregnancy

echographie 20 semaines

echographie 20 semaines

Kitty Cat Pregnancy Ultrasound

Kitty Cat Pregnancy Ultrasound

Крольчиха рожает 5 крольчат дома

Крольчиха рожает 5 крольчат дома

White and Black Wallpaper Engine 1 Hour

White and Black Wallpaper Engine 1 Hour

Ночные пробуждения в 3–4 часа: как найти причину и вернуть глубокий сон.

Ночные пробуждения в 3–4 часа: как найти причину и вернуть глубокий сон.

Golden Dust Particles Animation Background video | 4K Gold Dust

Golden Dust Particles Animation Background video | 4K Gold Dust

Не делай МРТ пока не посмотришь это видео!

Не делай МРТ пока не посмотришь это видео!

10 ОСНОВНЫХ ПРИЗНАКОВ ТОГО, ЧТО ВАША КОШКА РОЖАЕТ (включая предродовые симптомы) + Краткий обзор ...

10 ОСНОВНЫХ ПРИЗНАКОВ ТОГО, ЧТО ВАША КОШКА РОЖАЕТ (включая предродовые симптомы) + Краткий обзор ...

© 2025 ycliper. Все права защищены.



  • Контакты
  • О нас
  • Политика конфиденциальности



Контакты для правообладателей: [email protected]