ycliper

Популярное

Музыка Кино и Анимация Автомобили Животные Спорт Путешествия Игры Юмор

Интересные видео

2025 Сериалы Трейлеры Новости Как сделать Видеоуроки Diy своими руками

Топ запросов

смотреть а4 schoolboy runaway турецкий сериал смотреть мультфильмы эдисон
Скачать

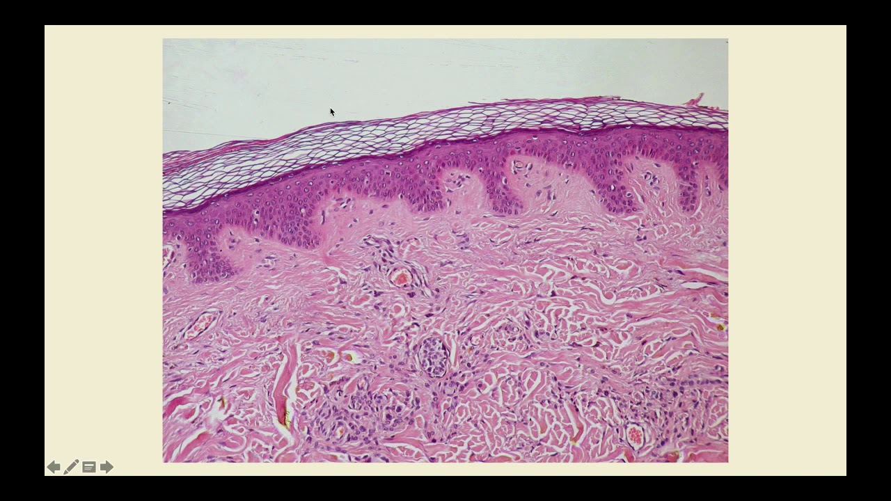
Basics of Dermatology (Part One) - CRASH! Medical Review Series

Автор: Paul Bolin, M.D.

Загружено: 2019-06-04

Просмотров: 51159

Описание: For just $1/month, you can help keep these videos free! Subscribe to my Patreon at   / pwbmd  

(Disclaimer: The medical information contained herein is intended for physician medical licensing exam review purposes only, and are not intended for diagnosis of any illness. If you think you may be suffering from any medical condition, you should consult your physician or seek immediate medical attention.)

Не удается загрузить Youtube-плеер. Проверьте блокировку Youtube в вашей сети.
Повторяем попытку...
Basics of Dermatology (Part One) - CRASH! Medical Review Series

Поделиться в:

Доступные форматы для скачивания:

Скачать видео

  • Информация по загрузке:

Скачать аудио

Похожие видео

Basics of Dermatology (Part Two) - CRASH! Medical Review Series

Basics of Dermatology (Part Two) - CRASH! Medical Review Series

Normal Skin Histology - Explained by a Dermatopathologist

Normal Skin Histology - Explained by a Dermatopathologist

Дерматология — Часть 1 | Обзорный курс Национального совета по дерматологии

Дерматология — Часть 1 | Обзорный курс Национального совета по дерматологии

The Integumentary System

The Integumentary System

Dermatology Practice Questions | High Yield PANCE/EOR Prep (1)

Dermatology Practice Questions | High Yield PANCE/EOR Prep (1)

ПСОРИАЗ. Самое главное

ПСОРИАЗ. Самое главное

4 Hours Chopin for Studying, Concentration & Relaxation

4 Hours Chopin for Studying, Concentration & Relaxation

Induction of general anesthesia explained step by step

Induction of general anesthesia explained step by step

Inflammatory Dermpath 101 (A Beginner's Guide to Diagnosing Skin Rashes for Non-Dermatopathologists)

Inflammatory Dermpath 101 (A Beginner's Guide to Diagnosing Skin Rashes for Non-Dermatopathologists)

Медицинские истории — Болезнь Кушинга: история Алиссы

Медицинские истории — Болезнь Кушинга: история Алиссы

Psychiatry Review Questions (Set One) - CRASH! Medical Review Series

Psychiatry Review Questions (Set One) - CRASH! Medical Review Series

Peritoneum tutorial

Peritoneum tutorial

Dermatology - Overview

Dermatology - Overview

Overview of Skin Cancer - CRASH! Medical Review Series

Overview of Skin Cancer - CRASH! Medical Review Series

Introduction to Suture

Introduction to Suture

Основные случаи дерматопатий — объяснения дерматопатолога

Основные случаи дерматопатий — объяснения дерматопатолога

Пошаговое выполнение поясничной ламинэктомии

Пошаговое выполнение поясничной ламинэктомии

Покровная система, часть 1 - Кожа: Crash Course А&Ф # 6

Покровная система, часть 1 - Кожа: Crash Course А&Ф # 6

DERMATOPATHOLOGY: Spongiotic Dermatitis

DERMATOPATHOLOGY: Spongiotic Dermatitis

Невероятные эффекты светотерапии красным светом

Невероятные эффекты светотерапии красным светом

© 2025 ycliper. Все права защищены.



  • Контакты
  • О нас
  • Политика конфиденциальности



Контакты для правообладателей: [email protected]