ycliper

Популярное

Музыка Кино и Анимация Автомобили Животные Спорт Путешествия Игры Юмор

Интересные видео

2025 Сериалы Трейлеры Новости Как сделать Видеоуроки Diy своими руками

Топ запросов

смотреть а4 schoolboy runaway турецкий сериал смотреть мультфильмы эдисон
Скачать

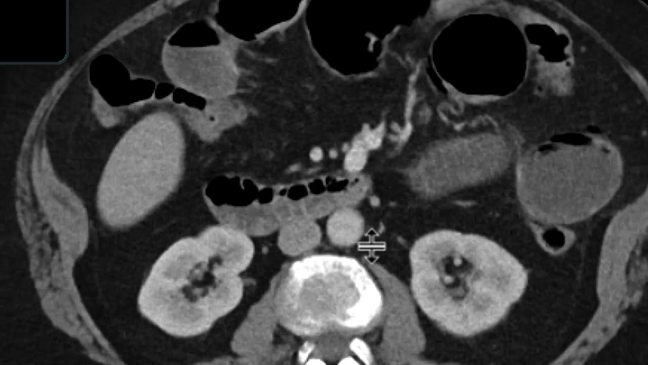
Gallstone Ileus

Автор: Hassan Aziz, MD

Загружено: 2021-01-23

Просмотров: 531

Описание: Gallstone Ileus is a very rare case of small bowel obstruction. Imaging can help in diagnosis. In the operating room, you may feel a "Mass" so open that piece of small bowel or resect it and visualize the stones. Don't take down the Cholecystoenteric Fistula at the time of the index operation. #absite #generalsurgeryboards

Не удается загрузить Youtube-плеер. Проверьте блокировку Youtube в вашей сети.
Повторяем попытку...
Gallstone Ileus

Поделиться в:

Доступные форматы для скачивания:

Скачать видео

  • Информация по загрузке:

Скачать аудио

Похожие видео

Case of the Week: Gallstone Ileus (X-ray & CT)

Case of the Week: Gallstone Ileus (X-ray & CT)

Gallstone ileus

Gallstone ileus

Qlarant Foundation Grantee Spotlight: Brem Foundation

Qlarant Foundation Grantee Spotlight: Brem Foundation

Radiology Teaching on Gallstone ileus by Dr. Arjun Kalyanpur

Radiology Teaching on Gallstone ileus by Dr. Arjun Kalyanpur

Не делай МРТ пока не посмотришь это видео!

Не делай МРТ пока не посмотришь это видео!

ПОЧЕМУ НОРМА ХОЛЕСТЕРИНА СТАЛА НИЖЕ: что изменялось в медицине с прошлого века

ПОЧЕМУ НОРМА ХОЛЕСТЕРИНА СТАЛА НИЖЕ: что изменялось в медицине с прошлого века

Gall Stone Ileus

Gall Stone Ileus

Желчнокаменная болезнь, холецистит (механизм заболевания)

Желчнокаменная болезнь, холецистит (механизм заболевания)

КИШЕЧНИК ЗАРАБОТАЕТ КАК ЧАСЫ! Запор уйдет навсегда после 60 | Доктор рекомендует

КИШЕЧНИК ЗАРАБОТАЕТ КАК ЧАСЫ! Запор уйдет навсегда после 60 | Доктор рекомендует

Ascending cholangitis and Gall Stone ileus Made Easy | Usmle step 1| #speedymedical

Ascending cholangitis and Gall Stone ileus Made Easy | Usmle step 1| #speedymedical

Расширение чашечно лоханочной системы почек.

Расширение чашечно лоханочной системы почек.

Rigler's triad  - Gallstone ileus II Understanding the concept

Rigler's triad - Gallstone ileus II Understanding the concept

GALL STONE ILEUS-  Hepato Biliary Pancreatic - Image Basecd Question

GALL STONE ILEUS- Hepato Biliary Pancreatic - Image Basecd Question

Choledocholithiasis & Cholangitis Explained | Biliary Tract Disorders | CanadaQBank

Choledocholithiasis & Cholangitis Explained | Biliary Tract Disorders | CanadaQBank

Bowel Obstruction and Ileus: Ileus & Small Bowel Obstruction – Radiology | Lecturio

Bowel Obstruction and Ileus: Ileus & Small Bowel Obstruction – Radiology | Lecturio

Gall stone ileus  #neetpg #fmge #usmle

Gall stone ileus #neetpg #fmge #usmle

Почему в операционных холодно (не то, что вы думали)

Почему в операционных холодно (не то, что вы думали)

A Day in life of  Surgeon: Gallstone Ileus & Pancreatitis

A Day in life of Surgeon: Gallstone Ileus & Pancreatitis

Паралитическая кишечная непроходимость: причины, патофизиология, клиника, диагностика и лечение

Паралитическая кишечная непроходимость: причины, патофизиология, клиника, диагностика и лечение

Bile Duct Injury Operative Caveats

Bile Duct Injury Operative Caveats

© 2025 ycliper. Все права защищены.



  • Контакты
  • О нас
  • Политика конфиденциальности



Контакты для правообладателей: [email protected]