ycliper

Популярное

Музыка Кино и Анимация Автомобили Животные Спорт Путешествия Игры Юмор

Интересные видео

2025 Сериалы Трейлеры Новости Как сделать Видеоуроки Diy своими руками

Топ запросов

смотреть а4 schoolboy runaway турецкий сериал смотреть мультфильмы эдисон
Скачать

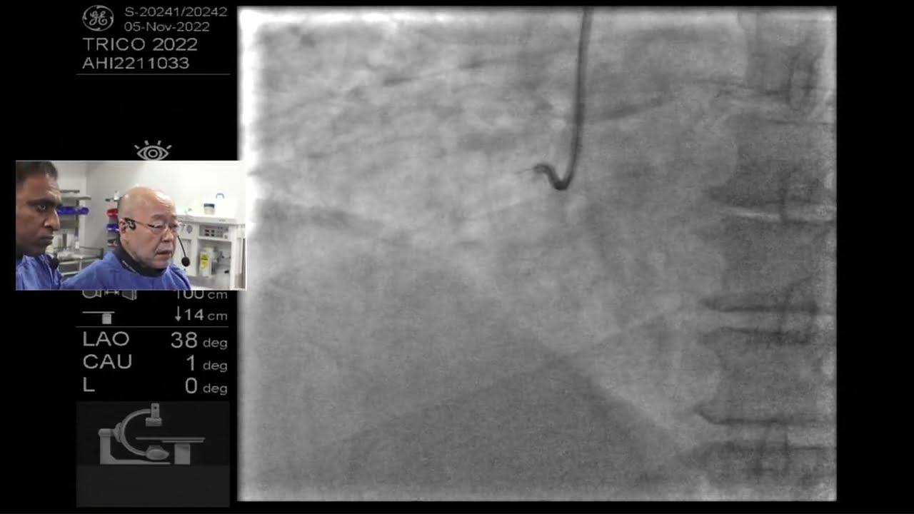
Guidewire Selection for Coronary CTO Procedures at the University Of Colorado Hospital

Автор: Diagnostic and Interventional Cardiology

Загружено: 2019-08-26

Просмотров: 270

Описание: Interview with Kevin Rogers, M.D., director of vascular medicine at the University of Colorado Hospital. He explains what wires he uses for chronic total occlusions (CTOs). The university of Colorado is a high-volume CTO center. Read more about the Innovation at the University of Colorado Hospital Cardiology Program.



Related Chronic Total Occlusion Content:

VIDEO: How to Treat CTOs and Complex PCI Cases — Interview with Khaldoon Alaswad, M.D. — www.dicardiology.com/videos/video-how-treat-ctos-and-complex-pci-cases

Recent Advances in Interventional Guidewire Technology - www.dicardiology.com/videos/video-how-treat-ctos-and-complex-pci-cases

VIDEO: New Technology to Treat Chronic Total Occlusions (CTOs), an interview with Farouc Jaffer, M.D., Ph.D. - www.dicardiology.com/videos/video-new-technology-treat-chronic-total-occlusions-ctos/5592141373001

Find more content from the University of Colorado Hospital — www.dicardiology.com/channel/university-colorado-hospital

Не удается загрузить Youtube-плеер. Проверьте блокировку Youtube в вашей сети.
Повторяем попытку...
Guidewire Selection for Coronary CTO Procedures at the University Of Colorado Hospital

Поделиться в:

Доступные форматы для скачивания:

Скачать видео

  • Информация по загрузке:

Скачать аудио

Похожие видео

08  Husam Noor   Broaden of your CTO Guidewire Algorithm

08 Husam Noor Broaden of your CTO Guidewire Algorithm

Почему в операционных холодно (не то, что вы думали)

Почему в операционных холодно (не то, что вы думали)

Induction of general anesthesia explained step by step

Induction of general anesthesia explained step by step

GLIDEWIRE Endoscopic Hydrophilic Coated Guidewire Animation

GLIDEWIRE Endoscopic Hydrophilic Coated Guidewire Animation

ETOSS Guide Wire Series: The FIELDER XT

ETOSS Guide Wire Series: The FIELDER XT

Knuckle-Twister

Knuckle-Twister

Ocelot Animation - Crossing a Peripheral Artery Disease CTO

Ocelot Animation - Crossing a Peripheral Artery Disease CTO

University of Colorado - Department of Radiology

University of Colorado - Department of Radiology

4 Hours Chopin for Studying, Concentration & Relaxation

4 Hours Chopin for Studying, Concentration & Relaxation

Angioplasty technique: an antegrade approach for CTO (+English subtitle)

Angioplasty technique: an antegrade approach for CTO (+English subtitle)

Complex CTO of RCA done by Dr. Shigeru Saito with Rajni

Complex CTO of RCA done by Dr. Shigeru Saito with Rajni

66  P K  Goel   3D Wiring Concept in CTO Intervention

66 P K Goel 3D Wiring Concept in CTO Intervention

Случай 174: Руководство по ЧКВ - Сложная проводка при инфаркте миокарда с подъемом сегмента ST

Случай 174: Руководство по ЧКВ - Сложная проводка при инфаркте миокарда с подъемом сегмента ST

Межлестничная блокада плечевого сплетения

Межлестничная блокада плечевого сплетения

Стентирование: спасение или отсрочка? Что должен знать каждый пациент

Стентирование: спасение или отсрочка? Что должен знать каждый пациент

How Does the Bioresorbable Heart Valve Work

How Does the Bioresorbable Heart Valve Work

90% ИЗМЕРЯЮТ ДАВЛЕНИЕ НЕПРАВИЛЬНО. 7 САМЫХ ОПАСНЫХ ОШИБОК ПРИ ИЗМЕРЕНИИ ДАВЛЕНИЯ.

90% ИЗМЕРЯЮТ ДАВЛЕНИЕ НЕПРАВИЛЬНО. 7 САМЫХ ОПАСНЫХ ОШИБОК ПРИ ИЗМЕРЕНИИ ДАВЛЕНИЯ.

Установка центральной линии, автор Кэл Шипли, доктор медицины.

Установка центральной линии, автор Кэл Шипли, доктор медицины.

Случай 54: Руководство по ЧКВ - фиксация суставной косточки при ИМпST

Случай 54: Руководство по ЧКВ - фиксация суставной косточки при ИМпST

Понимание стомы (колостома, илеостома, уростома и гастростома)

Понимание стомы (колостома, илеостома, уростома и гастростома)

© 2025 ycliper. Все права защищены.



  • Контакты
  • О нас
  • Политика конфиденциальности



Контакты для правообладателей: [email protected]