ycliper

Популярное

Музыка Кино и Анимация Автомобили Животные Спорт Путешествия Игры Юмор

Интересные видео

2025 Сериалы Трейлеры Новости Как сделать Видеоуроки Diy своими руками

Топ запросов

смотреть а4 schoolboy runaway турецкий сериал смотреть мультфильмы эдисон
Скачать

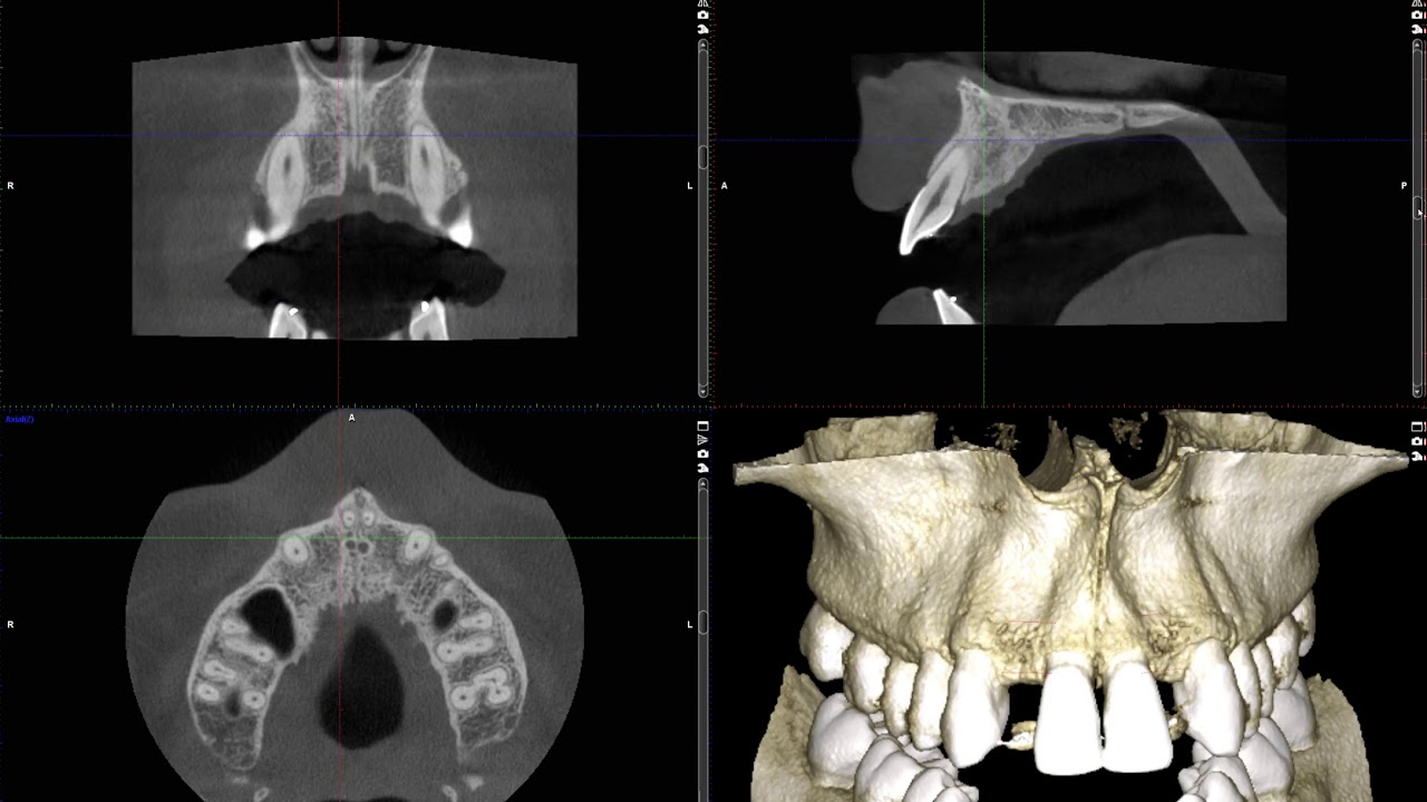
Implant planning for congenitally missing lateral incisors

Автор: Dr. Kim's Dental Radiology

Загружено: 2019-02-14

Просмотров: 436

Описание: Faculty webpage
https://www.unmc.edu/dentistry/facult...

CBCT interpretation reporting service
https://www.unmc.edu/dentistry/patien...

Не удается загрузить Youtube-плеер. Проверьте блокировку Youtube в вашей сети.
Повторяем попытку...
Implant planning for congenitally missing lateral incisors

Поделиться в:

Доступные форматы для скачивания:

Скачать видео

  • Информация по загрузке:

Скачать аудио

Похожие видео

Direct Sinus Lift in CBCT for implant, 3-months comparison

Direct Sinus Lift in CBCT for implant, 3-months comparison

Orthodontics Course - missing lateral incisors and braces

Orthodontics Course - missing lateral incisors and braces

Lateral ridge augmentation and mandibular buccal concavity

Lateral ridge augmentation and mandibular buccal concavity

Basic Implant Planning in Romexis #1

Basic Implant Planning in Romexis #1

Dr  Lugakingira, Missing Lateral Incisors Dental Implants, WPTA ABC 21

Dr Lugakingira, Missing Lateral Incisors Dental Implants, WPTA ABC 21

Lost most teeth by 40

Lost most teeth by 40

OnDemand3D Dental Implant Planning

OnDemand3D Dental Implant Planning

Maxillary Lateral Incisor Agenesis: orthodontic considerations

Maxillary Lateral Incisor Agenesis: orthodontic considerations

Установка центральной линии, автор Кэл Шипли, доктор медицины.

Установка центральной линии, автор Кэл Шипли, доктор медицины.

Incidental sialolith

Incidental sialolith

Dentigerous cyst confirmed!

Dentigerous cyst confirmed!

CS 3D Imaging - 3 Ways To Map The Nerve

CS 3D Imaging - 3 Ways To Map The Nerve

Congenitally missing lateral incisors - What to do?

Congenitally missing lateral incisors - What to do?

How far can you retruded your tongue?

How far can you retruded your tongue?

CS 3D Imaging - Prise en main globale

CS 3D Imaging - Prise en main globale

Кому нельзя ставить импланты? Стоматологи молчат об этом

Кому нельзя ставить импланты? Стоматологи молчат об этом

Using CBCT for Dental Implant Treatment Planning | Dental Implantology

Using CBCT for Dental Implant Treatment Planning | Dental Implantology

Wysoki kortyzol przyciąga choroby. Zbij go, a zdrowie zacznie wracać samo

Wysoki kortyzol przyciąga choroby. Zbij go, a zdrowie zacznie wracać samo

Болит плечо? 1 раз сделай больше не будет. Боль в плечевом суставе. Плечелопаточный периартроз

Болит плечо? 1 раз сделай больше не будет. Боль в плечевом суставе. Плечелопаточный периартроз

Recurrent OKC (Odontogenic keratocyst) confirmed!

Recurrent OKC (Odontogenic keratocyst) confirmed!

© 2025 ycliper. Все права защищены.



  • Контакты
  • О нас
  • Политика конфиденциальности



Контакты для правообладателей: [email protected]