ycliper

Популярное

Музыка Кино и Анимация Автомобили Животные Спорт Путешествия Игры Юмор

Интересные видео

2025 Сериалы Трейлеры Новости Как сделать Видеоуроки Diy своими руками

Топ запросов

смотреть а4 schoolboy runaway турецкий сериал смотреть мультфильмы эдисон
Скачать

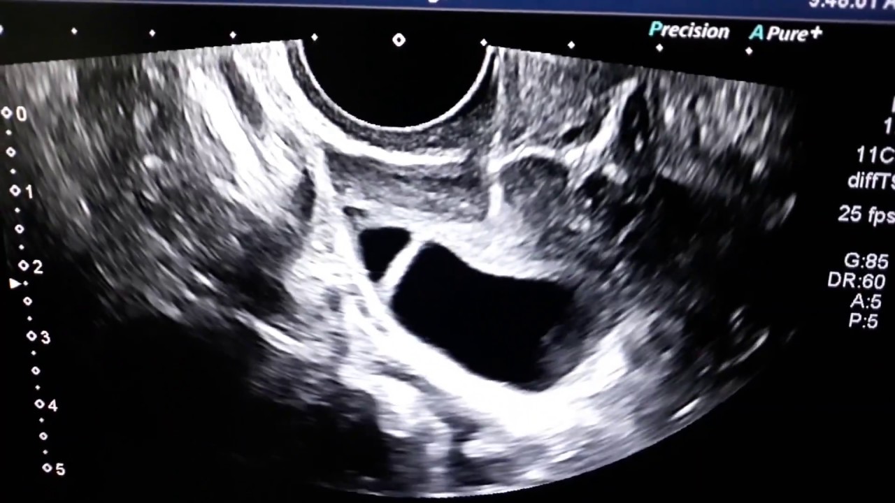
IVF Egg or Ovum Retrieval / Collection Procedure in IVF by Dr Arun

Автор: Iswarya Fertility Centre

Загружено: 2018-04-17

Просмотров: 26443

Описание: How are the eggs collected (retrieved) during an IVF Cycle ?

Using an vaginal ultrasound, needle is passed and the follicular fluid is aspirated.

This video shows how the follicular fluid is aspirated during an IVF Egg retrieval procedure of ICSI Cycle. This procedure is also called IVF Egg pickup or oocyte retrieval

Website: www.iswaryafertility.com
Phone: +919942210077
E-Mail: [email protected]

Не удается загрузить Youtube-плеер. Проверьте блокировку Youtube в вашей сети.
Повторяем попытку...
IVF Egg or Ovum Retrieval / Collection Procedure in IVF by Dr Arun

Поделиться в:

Доступные форматы для скачивания:

Скачать видео

  • Информация по загрузке:

Скачать аудио

Похожие видео

Последовательность трансвагинального сканирования женского таза POCUS

Последовательность трансвагинального сканирования женского таза POCUS

Контрнаступление ВСУ? Иран отрежет интернет, Кто шпионит в Латвии. Морозов, Шейтельман, Смагин

Контрнаступление ВСУ? Иран отрежет интернет, Кто шпионит в Латвии. Морозов, Шейтельман, Смагин

Live Demonstration of Egg Collection and Embryo Transfer in IVF By Dr. Kaberi Banerjee - Part 1

Live Demonstration of Egg Collection and Embryo Transfer in IVF By Dr. Kaberi Banerjee - Part 1

5 Top Tips for Recovering on the Day of Your Egg Retrieval from Dr Lora Shahine

5 Top Tips for Recovering on the Day of Your Egg Retrieval from Dr Lora Shahine

Анатомия КТ: брюшная полость

Анатомия КТ: брюшная полость

Не можешь проплыть 15 минут без остановки и быстро устаешь? Смотри это видео!

Не можешь проплыть 15 минут без остановки и быстро устаешь? Смотри это видео!

Egg Retreival Explained: How to Have the Best Egg Retrieval Experience During IVF #IVF #podcast

Egg Retreival Explained: How to Have the Best Egg Retrieval Experience During IVF #IVF #podcast

послушайте эту музыку и вам станет легче🌿Нежная музыка,успокаивает нервную #84

послушайте эту музыку и вам станет легче🌿Нежная музыка,успокаивает нервную #84

Расположение акушерского ультразвукового датчика | Установка датчика для беременной матки и плода...

Расположение акушерского ультразвукового датчика | Установка датчика для беременной матки и плода...

Stem Cell Ovarian Rejuvenation, Rejuvenating Fertility Center | Dr Merhi

Stem Cell Ovarian Rejuvenation, Rejuvenating Fertility Center | Dr Merhi

IVF के Injections और Sonography कैसे होती है ? -Dr Asha Gavade

IVF के Injections और Sonography कैसे होती है ? -Dr Asha Gavade

UNDERSTANDING THE IVF (In Vitro Fertilization) PROCESS | STEP BY STEP GUIDE | PROCARE HOSPITAL ABUJA

UNDERSTANDING THE IVF (In Vitro Fertilization) PROCESS | STEP BY STEP GUIDE | PROCARE HOSPITAL ABUJA

Почему чеснок

Почему чеснок "взрывает" микробов? Результат меня шокировал.

Музыка лечит сердце и сосуды🌸 Успокаивающая музыка восстанавливает нервную систему,расслабляющая

Музыка лечит сердце и сосуды🌸 Успокаивающая музыка восстанавливает нервную систему,расслабляющая

Как уменьшить боль во время инъекции | Прогестерон в масле

Как уменьшить боль во время инъекции | Прогестерон в масле

Ovarian Hyperstimulation Syndrome - OHSS Protocols, Risks, Symptoms, and Prevention

Ovarian Hyperstimulation Syndrome - OHSS Protocols, Risks, Symptoms, and Prevention

What is IVF | செயற்கை கருத்தரித்தல் சிகிச்சை பற்றி உங்களுக்கு தெரியாத உண்மைகள்

What is IVF | செயற்கை கருத்தரித்தல் சிகிச்சை பற்றி உங்களுக்கு தெரியாத உண்மைகள்

Срочное распоряжение покинуть территорию / Вывод войск

Срочное распоряжение покинуть территорию / Вывод войск

1 раз сделал Поясница не болит 10 лет. Мышцы расслабляются полностью

1 раз сделал Поясница не болит 10 лет. Мышцы расслабляются полностью

செயற்கை முறையில் குழந்தை பெற நினைப்பவர்கள் அவசியம் பாருங்க... Dr Mala Raj |IVF Step By Step Process

செயற்கை முறையில் குழந்தை பெற நினைப்பவர்கள் அவசியம் பாருங்க... Dr Mala Raj |IVF Step By Step Process

© 2025 ycliper. Все права защищены.



  • Контакты
  • О нас
  • Политика конфиденциальности



Контакты для правообладателей: [email protected]