ycliper

Популярное

Музыка Кино и Анимация Автомобили Животные Спорт Путешествия Игры Юмор

Интересные видео

2025 Сериалы Трейлеры Новости Как сделать Видеоуроки Diy своими руками

Топ запросов

смотреть а4 schoolboy runaway турецкий сериал смотреть мультфильмы эдисон
Скачать

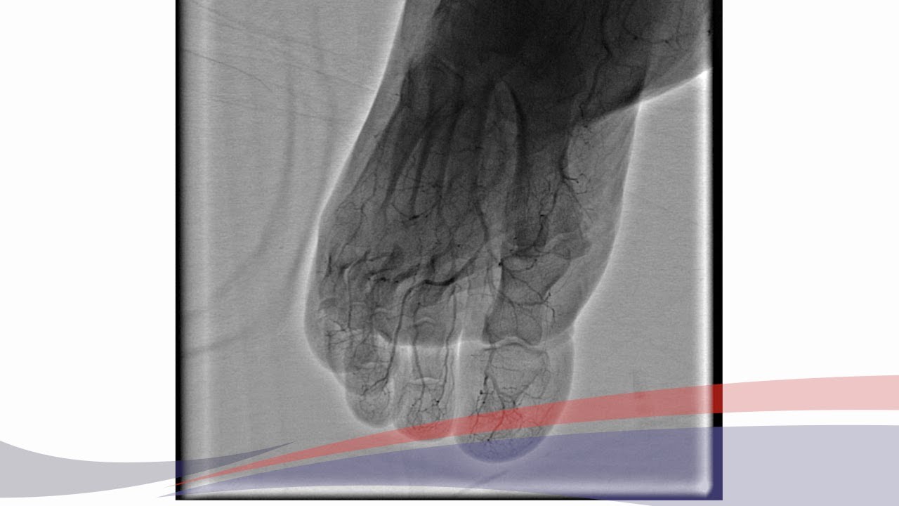
ANGIOPLASTIA PERIFÉRICA COMPLEJA A OCLUSIÓN DE BYPASS FEMORO TIBIAL

Автор: Hemodinamia del Sur

Загружено: 2021-07-15

Просмотров: 3349

Описание: Paciente de sexo masculino, de 64 años de edad

Factores de riesgo cardiovascular:

− Ex tabaquista
− Dislipemia

Antecedentes personales:

− Bypass femoro poplíteo infrapatelar derecho y angioplastia iliaca común izquierda

Cuadro clínico:

Claudicación intermitente a los 30 metros desde abril del corriente que progresa a dolor en reposo a los 20 días, con trastorno de la sensibilidad en la planta del pie, impotencia de los dedos y puntadas desde el talón a la pantorilla.

Не удается загрузить Youtube-плеер. Проверьте блокировку Youtube в вашей сети.
Повторяем попытку...
ANGIOPLASTIA PERIFÉRICA COMPLEJA A OCLUSIÓN DE BYPASS FEMORO TIBIAL

Поделиться в:

Доступные форматы для скачивания:

Скачать видео

  • Информация по загрузке:

Скачать аудио

Похожие видео

ANGIOPLASTIA PERIFERICA COMPLEJA A OCLUSIÓN TOTAL DE ARTERIA FEMORAL SUPERFICIAL

ANGIOPLASTIA PERIFERICA COMPLEJA A OCLUSIÓN TOTAL DE ARTERIA FEMORAL SUPERFICIAL

После установки Стента нельзя делать ЭТО…

После установки Стента нельзя делать ЭТО…

ANGIOPLASTIA PERIFÉRICA A LESIONES SEVERAMENTE CALCIFICADA DE MIEMBRO INFERIOR DERECHO

ANGIOPLASTIA PERIFÉRICA A LESIONES SEVERAMENTE CALCIFICADA DE MIEMBRO INFERIOR DERECHO

ANGIOPLASTIA COMPLEJA OCLUSION TOTAL DE RAMO DIAGONAL

ANGIOPLASTIA COMPLEJA OCLUSION TOTAL DE RAMO DIAGONAL

Ужасное поражение левой коронарной артерии! Субтотальная окклюзия на 99%, успешное чрескожное кор...

Ужасное поражение левой коронарной артерии! Субтотальная окклюзия на 99%, успешное чрескожное кор...

Почему зарядка после 60 ускоряет потерю мышц? Парадокс сардинских долгожителей | ЗДОРОВЬЕ ДАРОМ

Почему зарядка после 60 ускоряет потерю мышц? Парадокс сардинских долгожителей | ЗДОРОВЬЕ ДАРОМ

5 ПРИЗНАКОВ ЗАБИТЫХ СОСУДОВ НОГ. Как проверить дома без врача?

5 ПРИЗНАКОВ ЗАБИТЫХ СОСУДОВ НОГ. Как проверить дома без врача?

Angioplastia de membro

Angioplastia de membro

Caso complejo de oclusion total de arteria femoral común y arteria femoral superficial.

Caso complejo de oclusion total de arteria femoral común y arteria femoral superficial.

Как очистить сосуды от бляшек и тромбов за 5 простых шагов

Как очистить сосуды от бляшек и тромбов за 5 простых шагов

Хирурги мне этого не простят. 10 операций, которые калечат после 55

Хирурги мне этого не простят. 10 операций, которые калечат после 55

Angioplastía vs. Bypass

Angioplastía vs. Bypass

Angioplastia carotidea separado por más de 15 días

Angioplastia carotidea separado por más de 15 días

Stent autoexpandible medicado, en arteria femoral superficial ♥️

Stent autoexpandible medicado, en arteria femoral superficial ♥️

TRATAMIENTO ENDOVASCULAR COMPLEJO DE AORTA INFRARRENAL ENFERMA Y ANEURISMATICA,

TRATAMIENTO ENDOVASCULAR COMPLEJO DE AORTA INFRARRENAL ENFERMA Y ANEURISMATICA,

Открытие Варбурга: 4 переключателя, которые мешают раку расти | Здоровье с Доктором

Открытие Варбурга: 4 переключателя, которые мешают раку расти | Здоровье с Доктором

Oclusion total de arteria femoral superficial en paciente con isquemia crítica.

Oclusion total de arteria femoral superficial en paciente con isquemia crítica.

СТАТИНЫ ГЛАВНЫЕ ПРАВИЛА ПРИЕМА БЕЗ ПОБОЧНЫХ ЭФФЕКТОВ И ЛУЧШИМ РЕЗУЛЬТАТОМ

СТАТИНЫ ГЛАВНЫЕ ПРАВИЛА ПРИЕМА БЕЗ ПОБОЧНЫХ ЭФФЕКТОВ И ЛУЧШИМ РЕЗУЛЬТАТОМ

Старость начитается с этих мышц. Начал тренировать эти две мышцы и не смог стареть уже 65лет

Старость начитается с этих мышц. Начал тренировать эти две мышцы и не смог стареть уже 65лет

Не делай МРТ пока не посмотришь это видео!

Не делай МРТ пока не посмотришь это видео!

© 2025 ycliper. Все права защищены.



  • Контакты
  • О нас
  • Политика конфиденциальности



Контакты для правообладателей: [email protected]