ycliper

Популярное

Музыка Кино и Анимация Автомобили Животные Спорт Путешествия Игры Юмор

Интересные видео

2025 Сериалы Трейлеры Новости Как сделать Видеоуроки Diy своими руками

Топ запросов

смотреть а4 schoolboy runaway турецкий сериал смотреть мультфильмы эдисон
Скачать

Ependymoma explained. - Adventures in Neuropathology

Автор: Adventures in Neuropathology

Загружено: 2018-08-06

Просмотров: 11322

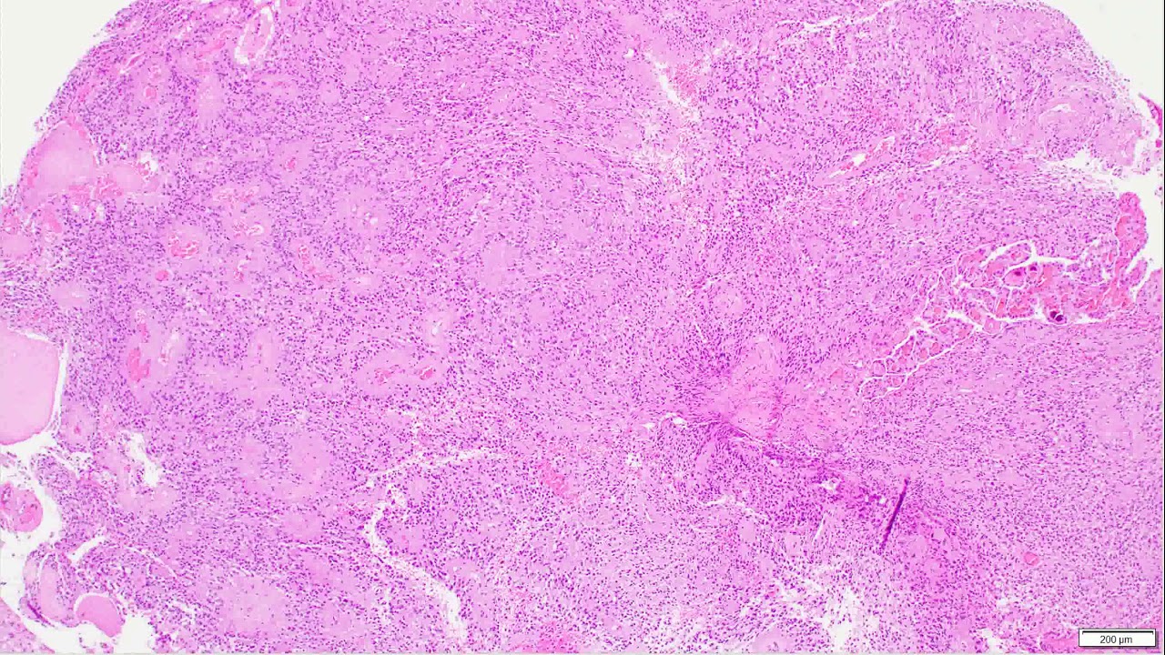
Описание: Ependymomas are glial tumors that commonly harbor perivascular pseudo-rosettes, seen here, characterized by radially arranged tumor cells around a blood vessel core. To learn more about these WHO grade 2 tumors.

For further study on this topic and others related to NEUROPATHOLOGY: https://amzn.to/2CYVb5o

For further study on this topic and others related to NEUROANATOMY: https://amzn.to/2PF0BJe

Не удается загрузить Youtube-плеер. Проверьте блокировку Youtube в вашей сети.
Повторяем попытку...
Ependymoma explained.  - Adventures in Neuropathology

Поделиться в:

Доступные форматы для скачивания:

Скачать видео

  • Информация по загрузке:

Скачать аудио

Похожие видео

Neuroblastoma and Ganglioneuroma  - Adventures in Neuropathology

Neuroblastoma and Ganglioneuroma - Adventures in Neuropathology

Neuropathology Smears and Frozen Sections

Neuropathology Smears and Frozen Sections

Ependymoma:   Update from the 5th Edition WHO Classification of CNS Tumors

Ependymoma: Update from the 5th Edition WHO Classification of CNS Tumors

Neuronal and glioneuronal tumors - Dr. Rodriguez (Hopkins) #NEUROPATH

Neuronal and glioneuronal tumors - Dr. Rodriguez (Hopkins) #NEUROPATH

Brain Histology and Brain Tumor Diversity  - Adventures in Neuropathology

Brain Histology and Brain Tumor Diversity - Adventures in Neuropathology

Glioblastoma IDH Wildtype Histopathological Diagnosis

Glioblastoma IDH Wildtype Histopathological Diagnosis

Эпендимома: простое объяснение

Эпендимома: простое объяснение

Ependymal tumors - Dr. Rodriguez (Hopkins) #NEUROPATH

Ependymal tumors - Dr. Rodriguez (Hopkins) #NEUROPATH

IDH - Mutant Astrocytoma:  Update from the 5th Edition WHO Classification of CNS Tumors

IDH - Mutant Astrocytoma: Update from the 5th Edition WHO Classification of CNS Tumors

Ependymoma microscopy - Talking slide

Ependymoma microscopy - Talking slide

Basal Ganglia: Neuroanatomy Video Lab - Brain Dissections

Basal Ganglia: Neuroanatomy Video Lab - Brain Dissections

Liposarcoma 101: Everything a Pathologist Needs to Know

Liposarcoma 101: Everything a Pathologist Needs to Know

Neuroanatomy made ridiculously simple

Neuroanatomy made ridiculously simple

Meningiomas - Dr. Rodriguez (Hopkins) #NEUROPATH

Meningiomas - Dr. Rodriguez (Hopkins) #NEUROPATH

Tumors of the Central Nervous system

Tumors of the Central Nervous system

PHAT: Плеоморфная гиалинизирующая ангиэктатическая опухоль 101

PHAT: Плеоморфная гиалинизирующая ангиэктатическая опухоль 101

Rosenthal fibers in Pilocytic Astrocytoma  - Adventures in Neuropathology

Rosenthal fibers in Pilocytic Astrocytoma - Adventures in Neuropathology

Symptoms and Diagnosis of Ependymoma from The CERN Foundation

Symptoms and Diagnosis of Ependymoma from The CERN Foundation

The 2021 WHO Classification of CNS Tumors: Update III - Ependymomas

The 2021 WHO Classification of CNS Tumors: Update III - Ependymomas

Case study 94 - ependymoma of the 4th ventricle - pediatric neurosurgery - explained by Dr Grunch

Case study 94 - ependymoma of the 4th ventricle - pediatric neurosurgery - explained by Dr Grunch

© 2025 ycliper. Все права защищены.



  • Контакты
  • О нас
  • Политика конфиденциальности



Контакты для правообладателей: [email protected]