ycliper

Популярное

Музыка Кино и Анимация Автомобили Животные Спорт Путешествия Игры Юмор

Интересные видео

2025 Сериалы Трейлеры Новости Как сделать Видеоуроки Diy своими руками

Топ запросов

смотреть а4 schoolboy runaway турецкий сериал смотреть мультфильмы эдисон
Скачать

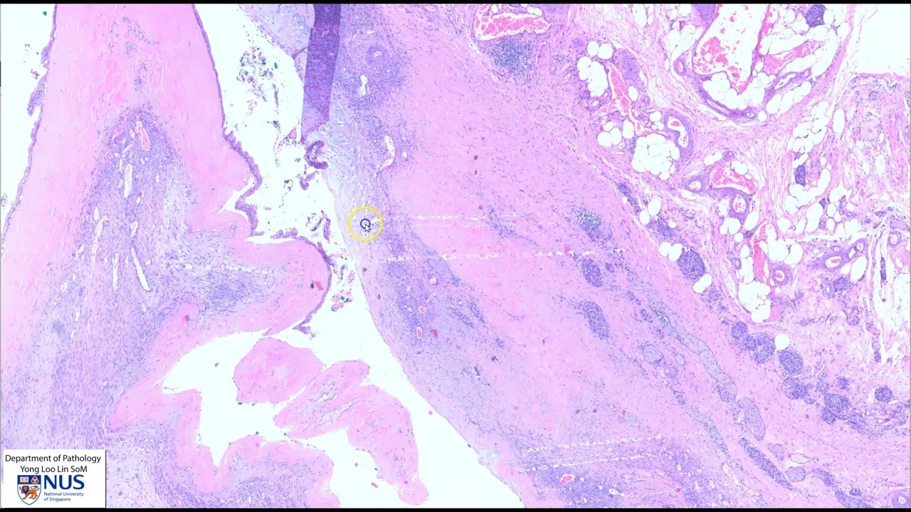
Knee synovium: Pigmented villonodular synovitis (Tenosynovial giant cell tumour)

Автор: Pathweb Teacher

Загружено: 2021-07-18

Просмотров: 3024

Описание: Demonstration of gross features of pigmented villonodular synovitis/tenosynovial giant cell tumour, with clinical and microscopic correlates.

Video source: Pathweb
Register for FREE access to Pathweb: https://nus.syd1.qualtrics.com/jfe/fo...

Pathweb online resource: https://medicine.nus.edu.sg/pathweb/
Pathweb instagram:   / pathweb  

Не удается загрузить Youtube-плеер. Проверьте блокировку Youtube в вашей сети.
Повторяем попытку...
Knee synovium: Pigmented villonodular synovitis (Tenosynovial giant cell tumour)

Поделиться в:

Доступные форматы для скачивания:

Скачать видео

  • Информация по загрузке:

Скачать аудио

Похожие видео

Tibia: Osteoarthritis

Tibia: Osteoarthritis

PVNS (pigmented villonodular synovitis/tenosynovial giant cell tumor diffuse type) pathology

PVNS (pigmented villonodular synovitis/tenosynovial giant cell tumor diffuse type) pathology

Rib: Chondrosarcoma

Rib: Chondrosarcoma

GCT & PVNS (Giant Cell Tumor of Tendon Sheath & Pigmented Villonodular Synovitis) 101

GCT & PVNS (Giant Cell Tumor of Tendon Sheath & Pigmented Villonodular Synovitis) 101

Гигантоклеточная опухоль сухожильного влагалища (теносиновиальная гигантоклеточная опухоль) - пат...

Гигантоклеточная опухоль сухожильного влагалища (теносиновиальная гигантоклеточная опухоль) - пат...

Pigmented Villonodular Synovitis

Pigmented Villonodular Synovitis

Чего боится пустой желудок?

Чего боится пустой желудок?

Localized nodular synovitis presenting as a mass in the central knee joint

Localized nodular synovitis presenting as a mass in the central knee joint

Почему врачи запрещают это после замены хрусталика? 5 правил, которые спасут ваше зрение

Почему врачи запрещают это после замены хрусталика? 5 правил, которые спасут ваше зрение

Pancreas: Mucinous cystic neoplasm - Microscopy (Talking slide)

Pancreas: Mucinous cystic neoplasm - Microscopy (Talking slide)

Как расшифровать МРТ колена | Первый взгляд на МРТ

Как расшифровать МРТ колена | Первый взгляд на МРТ

Кость (череп): гистиоцитоз из клеток Лангерганса (виртуальная микроскопия) - говорящий слайд

Кость (череп): гистиоцитоз из клеток Лангерганса (виртуальная микроскопия) - говорящий слайд

Chondrocalcinosis, Tumoral Calcinosis, synovial chondromatosis and calcific tendonitis

Chondrocalcinosis, Tumoral Calcinosis, synovial chondromatosis and calcific tendonitis

Пигментный ворсинчатый синовит (ПВНС) коленного сустава

Пигментный ворсинчатый синовит (ПВНС) коленного сустава

Overview of Tenosynovial Giant Cell Tumors

Overview of Tenosynovial Giant Cell Tumors

I have pvns and this is what I know.

I have pvns and this is what I know.

OSTEOSARCOMA: Clinical , Radiological features & Morphology

OSTEOSARCOMA: Clinical , Radiological features & Morphology

Diffuse Tenosynovial Giant Cell Tumour - Pathology mini tutorial

Diffuse Tenosynovial Giant Cell Tumour - Pathology mini tutorial

38 year old female with with sharp knee pain

38 year old female with with sharp knee pain

Dr. Kum Cooper March 2025 Webinar

Dr. Kum Cooper March 2025 Webinar

© 2025 ycliper. Все права защищены.



  • Контакты
  • О нас
  • Политика конфиденциальности



Контакты для правообладателей: [email protected]