ycliper

Популярное

Музыка Кино и Анимация Автомобили Животные Спорт Путешествия Игры Юмор

Интересные видео

2025 Сериалы Трейлеры Новости Как сделать Видеоуроки Diy своими руками

Топ запросов

смотреть а4 schoolboy runaway турецкий сериал смотреть мультфильмы эдисон
Скачать

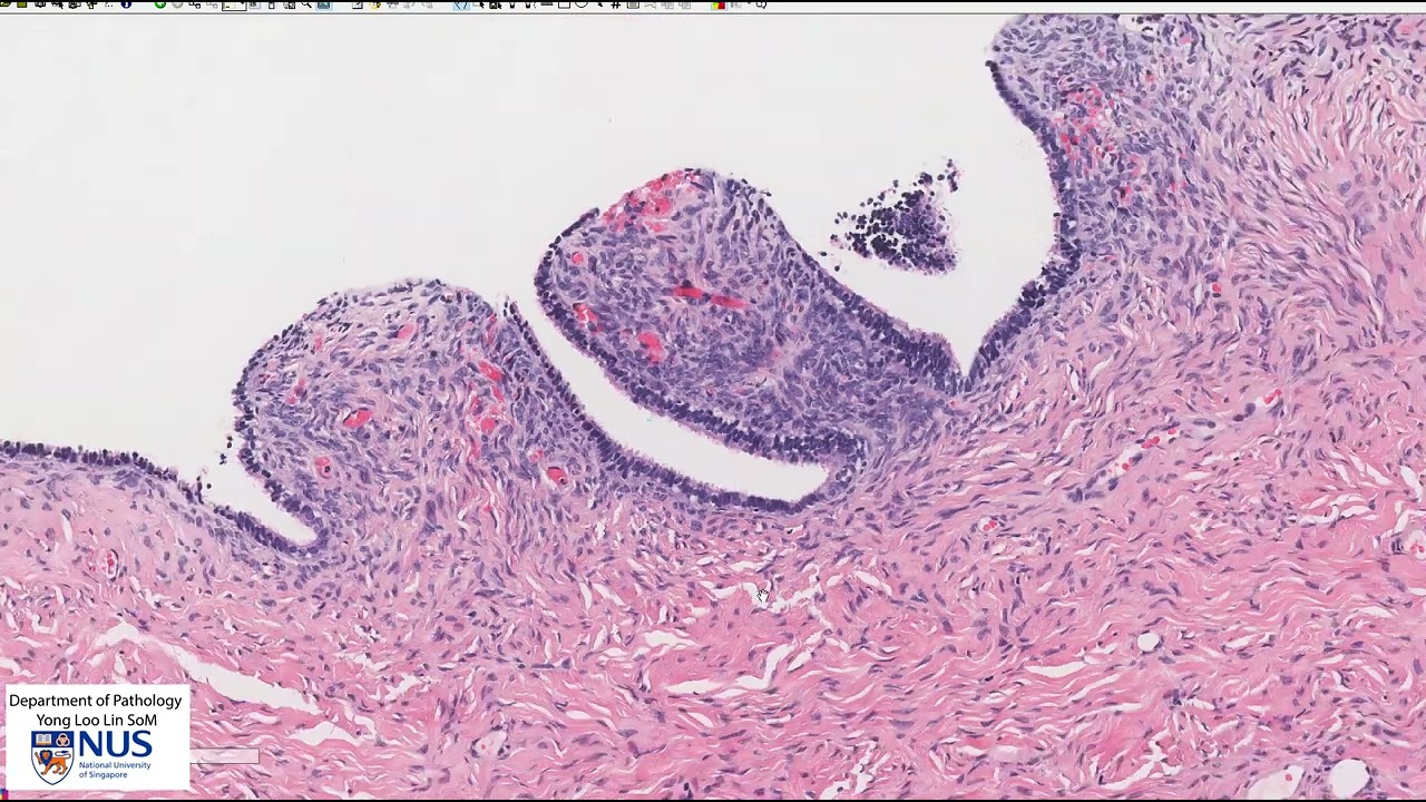
Ovary: Serous cystadenoma Microscopy - Talking slide

#pathology

#medicine

#pathweb

#nuspathweb #

undergraduate

postgraduate

education

healthcare

Автор: Pathweb Teacher

Загружено: 2023-04-30

Просмотров: 4579

Описание: Demonstration of the salient histologic features of serous cystadenoma of the ovary.

Video source: Pathweb
Register for FREE access to Pathweb: https://nus.syd1.qualtrics.com/jfe/fo...

Pathweb online resource: https://medicine.nus.edu.sg/pathweb/
Pathweb instagram:   / pathweb  

Не удается загрузить Youtube-плеер. Проверьте блокировку Youtube в вашей сети.
Повторяем попытку...
Ovary: Serous cystadenoma Microscopy - Talking slide

Поделиться в:

Доступные форматы для скачивания:

Скачать видео

  • Информация по загрузке:

Скачать аудио

Похожие видео

Ovary:  Mucinous cystadenoma Microscopy - Talking slide

Ovary: Mucinous cystadenoma Microscopy - Talking slide

Serous borderline tumor of the ovary

Serous borderline tumor of the ovary

Salivary gland: Pleomorphic adenoma Microscopy - Talking slide

Salivary gland: Pleomorphic adenoma Microscopy - Talking slide

Кожа – плоскоклеточный рак Микроскопия – говорящий слайд

Кожа – плоскоклеточный рак Микроскопия – говорящий слайд

Uterus: Endometrial carcinoma Microscopy - Talking Slide

Uterus: Endometrial carcinoma Microscopy - Talking Slide

Skin: Basal cell carcinoma Microscopy - Talking slide

Skin: Basal cell carcinoma Microscopy - Talking slide

Ovary: Teratoma, mature cystic (Virtual microcopy)

Ovary: Teratoma, mature cystic (Virtual microcopy)

Epithelial Ovarian Tumors Digital Slide Review

Epithelial Ovarian Tumors Digital Slide Review

Микроскопия фолликулярной аденомы щитовидной железы — говорящий слайд

Микроскопия фолликулярной аденомы щитовидной железы — говорящий слайд

Digital Surgical pathology - Serous Ovarian carcinoma case

Digital Surgical pathology - Serous Ovarian carcinoma case

Bladder: Papillary urothelial carcinoma Microscopy  - Talking slide

Bladder: Papillary urothelial carcinoma Microscopy - Talking slide

КОМОК В ГОРЛЕ и Слизь  Это НЕ Простуда!

КОМОК В ГОРЛЕ и Слизь Это НЕ Простуда!

Ovarian Cysts - CRASH! Medical Review Series

Ovarian Cysts - CRASH! Medical Review Series

Превращение раковых клеток в нормальные: Димексид лечит рак? Средство за копейки.

Превращение раковых клеток в нормальные: Димексид лечит рак? Средство за копейки.

Serous Borderline Tumor/Atypical Proliferative Serous Tumor - Histopathology

Serous Borderline Tumor/Atypical Proliferative Serous Tumor - Histopathology

Серозная пограничная опухоль с микроинвазией

Серозная пограничная опухоль с микроинвазией

Открытие Варбурга: 4 переключателя, которые мешают раку расти | Здоровье с Доктором

Открытие Варбурга: 4 переключателя, которые мешают раку расти | Здоровье с Доктором

Ovary: Serous cystadenoma (Surface epithelial tumour)

Ovary: Serous cystadenoma (Surface epithelial tumour)

Histological Structure of the Ovary 4K

Histological Structure of the Ovary 4K

Papillary thyroid carcinoma microscopy - Talking slide

Papillary thyroid carcinoma microscopy - Talking slide

© 2025 ycliper. Все права защищены.



  • Контакты
  • О нас
  • Политика конфиденциальности



Контакты для правообладателей: [email protected]