ycliper

Популярное

Музыка Кино и Анимация Автомобили Животные Спорт Путешествия Игры Юмор

Интересные видео

2025 Сериалы Трейлеры Новости Как сделать Видеоуроки Diy своими руками

Топ запросов

смотреть а4 schoolboy runaway турецкий сериал смотреть мультфильмы эдисон
Скачать

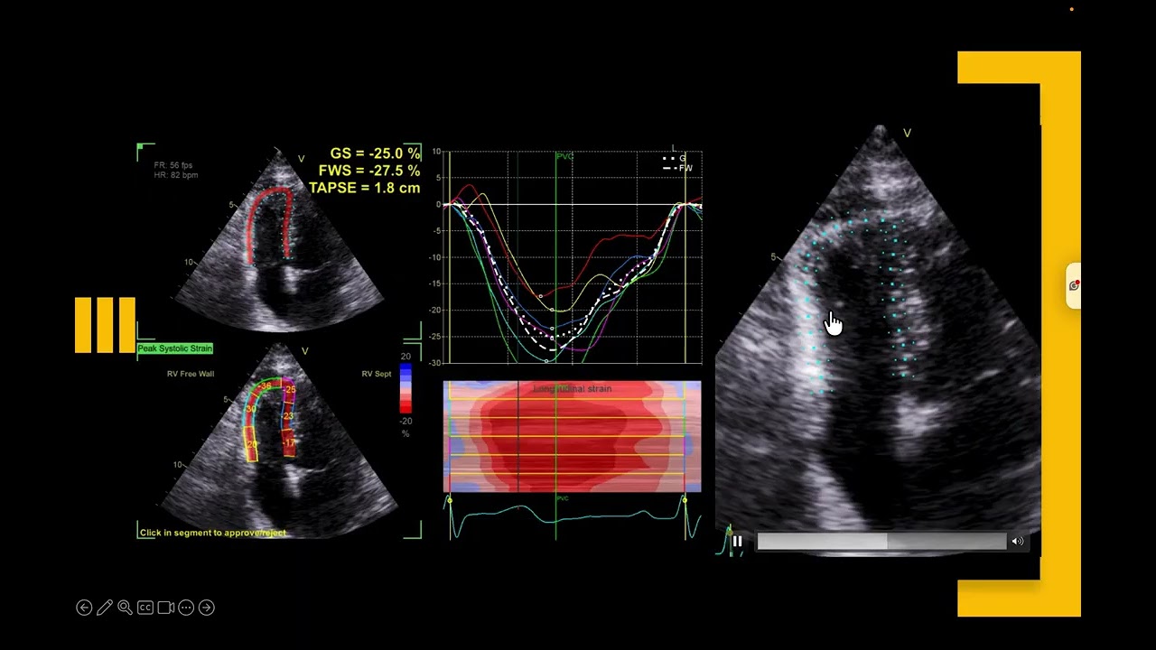
RV Strain Simplified: Views, ROI & Variability Explained. Why Your Numbers May Not Be Right🫀⚠️

Автор: Echo Singh by Dr. U P Singh

Загружено: 2026-01-30

Просмотров: 113

Описание: Right Ventricular (RV) strain analysis is powerful—but only when done right 🫀📊
In this video, we walk through the practical steps and common pitfalls of RV strain assessment, starting with acquiring a true focused RV view and avoiding anterior or posterior angulation that can distort results.

We would discuss accurate endocardial border tracing, correct region of interest (ROI) selection, how to avoid free wall/surface artefacts, and why many labs use LV GLS software for RV strain. Finally, we address the high variability in RV strain values and how technique, software, and image quality influence interpretation—helping you generate reliable, clinically meaningful RV strain data 🎯🩺

Не удается загрузить Youtube-плеер. Проверьте блокировку Youtube в вашей сети.
Повторяем попытку...
RV Strain Simplified: Views, ROI & Variability Explained. Why Your Numbers May Not Be Right🫀⚠️

Поделиться в:

Доступные форматы для скачивания:

Скачать видео

  • Информация по загрузке:

Скачать аудио

Похожие видео

Эхокардиография: за пределами цифр 🫀📈

Эхокардиография: за пределами цифр 🫀📈

Освойте функции RV за 10 минут 🔥 | TAPSE, TDI S′, FAC объяснены на реальных примерах эхокардиогра...

Освойте функции RV за 10 минут 🔥 | TAPSE, TDI S′, FAC объяснены на реальных примерах эхокардиогра...

Главный убийца тромбов найден! Выпейте это утром — и кровь больше не густая

Главный убийца тромбов найден! Выпейте это утром — и кровь больше не густая

Как измерить давление в правом желудочке при эхокардиографии | Пошаговые рекомендации ASE 2025

Как измерить давление в правом желудочке при эхокардиографии | Пошаговые рекомендации ASE 2025

Echo of Adult Congenital Heart Disease case with common, uncommon and rare findings

Echo of Adult Congenital Heart Disease case with common, uncommon and rare findings

LVOT VTi, LVOT diameter, Calculating Stroke Volume and Cardiac Output

LVOT VTi, LVOT diameter, Calculating Stroke Volume and Cardiac Output

СТОП! Не верьте кардиологу, пока не проверите ЭТУ точку

СТОП! Не верьте кардиологу, пока не проверите ЭТУ точку

Анатомия КТ: брюшная полость

Анатомия КТ: брюшная полость

Ангиология ч.1. Аорта и ее части. Ветви дуги аорты. Внутренняя сонная артерия.

Ангиология ч.1. Аорта и ее части. Ветви дуги аорты. Внутренняя сонная артерия.

Как расшифровать ЭКГ

Как расшифровать ЭКГ

Снегопад на Камчатке. Как люди откапывают свой город

Снегопад на Камчатке. Как люди откапывают свой город

Синдром сабля: как заподозрить и диагностировать с помощью эхокардиографии плода

Синдром сабля: как заподозрить и диагностировать с помощью эхокардиографии плода

Расширение чашечно лоханочной системы почек.

Расширение чашечно лоханочной системы почек.

Базовая трансторакальная эхокардиография (УЗИ сердца) — TTE Made Simple

Базовая трансторакальная эхокардиография (УЗИ сердца) — TTE Made Simple

Установка центральной линии, автор Кэл Шипли, доктор медицины.

Установка центральной линии, автор Кэл Шипли, доктор медицины.

Гепарда Герду выпустили за дверь! Она замерла от увиденного!

Гепарда Герду выпустили за дверь! Она замерла от увиденного!

Кардиохирург Лео Бокерия о корвалоле, боярышнике, статинах, аритмии, атеросклерозе, пороках сердца

Кардиохирург Лео Бокерия о корвалоле, боярышнике, статинах, аритмии, атеросклерозе, пороках сердца

Aortic Root Aneurysm and Severe Aortic Regurgitation

Aortic Root Aneurysm and Severe Aortic Regurgitation

Анимация операции по замене аортального клапана, автор — доктор медицины Кэл Шипли.

Анимация операции по замене аортального клапана, автор — доктор медицины Кэл Шипли.

Пищевая революция: почему углеводы больше не рекомендуют?🧐

Пищевая революция: почему углеводы больше не рекомендуют?🧐

© 2025 ycliper. Все права защищены.



  • Контакты
  • О нас
  • Политика конфиденциальности



Контакты для правообладателей: [email protected]