ycliper

Популярное

Музыка Кино и Анимация Автомобили Животные Спорт Путешествия Игры Юмор

Интересные видео

2025 Сериалы Трейлеры Новости Как сделать Видеоуроки Diy своими руками

Топ запросов

смотреть а4 schoolboy runaway турецкий сериал смотреть мультфильмы эдисон
Скачать

Myrmecia vs Molloscum. Dermpath Made Easy. Viral Video.

Автор: Dr. Michael Lee

Загружено: 2019-02-18

Просмотров: 854

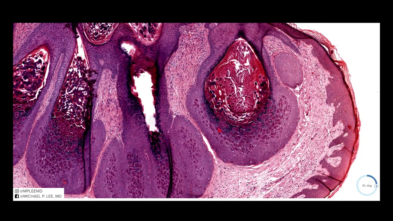
Описание: Case A. Myrmecia: HPV-1, acral/palmoplantar wart with anthill like appearance clinically. Endo (downward-growing) exophytic (outward growing).

Clue to DX: Coarse red cytoplasmic inclusions. All other features that are commonly seen in warts - i.e., hypergranulosis with coarse keratohyalin granules - are usually present. Nuclei retain's size or is often larger than the nuclei in normal skin.

B. Molluscum: Molluscum Contagiosum poxvirus. Multiple skin-colored to pink papules. An endophytic (downward growing) / cup-shaped and well circumscribed often with a scalloped border.

Clue to DX: The characteristic inclusions (Henderson-Patterson bodies or molluscum bodies), are very large and red to dark purple and take up most of the cytoplasm. They are so big that they displace the nuclei to the edge of the cell. They often like to hide in hair follicle epithelium if epithelia disrupted (by trying to squeeze a "pimple") a robust inflammatory tissue reaction.

If you have benefited from this video and want to see more, please hit that like button and share it with others.

Turn notifications on, but you don’t want to miss these short and fun tutorials.

SUBSCRIBE TO DR MICHAEL LEE’S YOUTUBE CHANNEL
   • Discover What Poison Ivy Rash Looks Like U...  

What was the thing you liked most about this video? Was it too long, short, or just right? Comment below.

I read all the comments and if you want a specific topic discussed, that’s the best place to do it.

I POST DAILY EDUCATIONAL / ENTERTAINMENT VIDEOS ON SKIN RELATED CONDITIONS

**CONNECT WITH DR MICHAEL LEE ON SOCIAL MEDIA**
Instagram:   / mpleemd  
Twitter: https://twitter.com/mpleemd?lang=en
Facebook:   / mpleemd  
Category
Education

#dermatology #skin #health #medical #medstudent #science #histology #pathology #dermpath

Не удается загрузить Youtube-плеер. Проверьте блокировку Youtube в вашей сети.
Повторяем попытку...
Myrmecia vs Molloscum. Dermpath Made Easy. Viral Video.

Поделиться в:

Доступные форматы для скачивания:

Скачать видео

  • Информация по загрузке:

Скачать аудио

Похожие видео

Molluscum vs Myrmecia Wart - Dermpath Lookalikes

Molluscum vs Myrmecia Wart - Dermpath Lookalikes

Dematiaceous fungi - phaeohyphomycosis and chromomycosis unknown 13

Dematiaceous fungi - phaeohyphomycosis and chromomycosis unknown 13

Angiolymphoid hyperplasia with eosinophilia (epithelioid hemangioma) explained by a dermpath

Angiolymphoid hyperplasia with eosinophilia (epithelioid hemangioma) explained by a dermpath

Cutaneous Lymphadenoma with extras. Explained by a dermatopathologist. Unk #17. #Boardsready

Cutaneous Lymphadenoma with extras. Explained by a dermatopathologist. Unk #17. #Boardsready

SZALONY, GENIALNY MECZ, GOL LEWEGO, RAPHINHA BOHATEREM BARCELONY

SZALONY, GENIALNY MECZ, GOL LEWEGO, RAPHINHA BOHATEREM BARCELONY

Бессонница после 50? Забудьте про таблетки. 5 минут в день — и спите до утра

Бессонница после 50? Забудьте про таблетки. 5 минут в день — и спите до утра

Molluscum Hack

Molluscum Hack

Кислотно-щелочной баланс после 55: от уксуса до долголетия. Разбор методов и мифов

Кислотно-щелочной баланс после 55: от уксуса до долголетия. Разбор методов и мифов

Trichofolliculoma - momma and her babies Unk 15 #leeunknowns #dempathmadeEZ

Trichofolliculoma - momma and her babies Unk 15 #leeunknowns #dempathmadeEZ

Аутизм — скрытая эпидемия 21-го века. Документальный фильм

Аутизм — скрытая эпидемия 21-го века. Документальный фильм

Микротоки работают или это маркетинг? Учёный-биолог разбирает исследования

Микротоки работают или это маркетинг? Учёный-биолог разбирает исследования

АУТИЗМ и ДЕМЕНЦИЯ: Шокирующая связь! Невролог раскрывает, как вылечить неизлечимое | На здоровье!

АУТИЗМ и ДЕМЕНЦИЯ: Шокирующая связь! Невролог раскрывает, как вылечить неизлечимое | На здоровье!

ДНК царицы Нефертити наконец проанализировали, результат поразил учёных…

ДНК царицы Нефертити наконец проанализировали, результат поразил учёных…

Deep Palmoplantar Wart (Myrmecia) - Pathology mini tutorial

Deep Palmoplantar Wart (Myrmecia) - Pathology mini tutorial

Microcystic adnexal carcinoma explained by a dermatopathologist. Dermpath made easy.

Microcystic adnexal carcinoma explained by a dermatopathologist. Dermpath made easy.

How To: Detect and Treat Molluscum Contagiosum with Water's Edge Dermatology

How To: Detect and Treat Molluscum Contagiosum with Water's Edge Dermatology

Morpheic Basal Cell Carcinoma explained by a dermatopathologist. Dermpath made easy: Unknown #9

Morpheic Basal Cell Carcinoma explained by a dermatopathologist. Dermpath made easy: Unknown #9

КОЗЫРЕВ - астрофизик ДОКАЗАЛ, что ВРЕМЯ это ЭНЕРГИЯ: дважды СИДЕЛ, приговорён к РАССТРЕЛУ

КОЗЫРЕВ - астрофизик ДОКАЗАЛ, что ВРЕМЯ это ЭНЕРГИЯ: дважды СИДЕЛ, приговорён к РАССТРЕЛУ

The New Dietary Guidelines Quietly Admit They Were Wrong (Here’s the Proof)

The New Dietary Guidelines Quietly Admit They Were Wrong (Here’s the Proof)

Cardiologist 30-Day Plant-Based Reset: Drop BP, Cholesterol & Belly Fat.

Cardiologist 30-Day Plant-Based Reset: Drop BP, Cholesterol & Belly Fat.

© 2025 ycliper. Все права защищены.



  • Контакты
  • О нас
  • Политика конфиденциальности



Контакты для правообладателей: [email protected]