kitamori pet clinic /北森ペット病院
kitamori pet clinic (北森ペット病院)
FUJI : LISENDO880LE,
GE : LogiQE10, VIVIDE95
kitamori pet clinic heart - tube (北森ペット病院の心臓関係の動画はこちら)
the channel related to circulatory organs
https://www.youtube.com/channel/UCAtdMne74q3bg5CCmuYGdaw
Echo image of Splenic tumor(hemaangiosarcoma) in a dog 犬の脾臓の血管肉腫のエコー
Canine pigmented viral plaque(犬の色素性ウイルス局面)
Urinary bladder(6mm) Mass(4mm)? in a guinea pig モルモットの膀胱(6mm)内のマス?(4mm)
吸気時間とVT
The Flea Life Cycle(ノミのライフサイクル)
flea cocoon(ノミの繭)
flea egg(ノミの卵)
male calico kitten(三毛猫の男の子 ♂)
Pheasant crossing the road(道路を渡るキジ)
Echo image of Urolithiasis in a cat(猫の尿石症のエコー)
Echo image of Pyometra in a djungarian hamster (ジャンガリアンハムスターの子宮蓄膿症のエコー)
Echo image of the renal tumor in a ferret (フェレットの腎臓腫瘍のエコー)
Echo image of the intravascular catheter in the dog's cephalic vein(犬の撓側皮静脈のなかのカテーテルのエコー)
Echo image of very small bladder stones (≦1mm)in a do(犬の非常に小さな膀胱結石)のエコー
Feline Ear mite (猫の耳ダニ)
Echo image of Lung tumor in a dog(犬の肺の腫瘍のエコー)
Anesthetic Monitoring during surgery in a dog(犬の手術中の麻酔モニター)
Echo image of the cervical lymph node in a dog(Toy Poodle) with Lymphoma(犬・トイプードルのリンパ腫の頚部リンパ節のエコー)
Capnogram(Main vs Side stream)
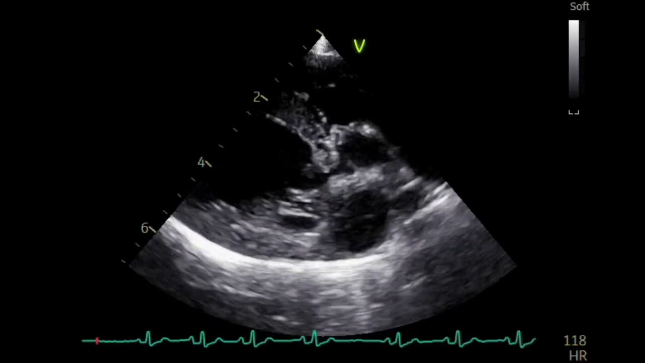
Mitral Valve , Pocket size VS Stationary high end system echo images、dog(2kg)犬の僧帽弁のポケットエコー
bladder, urethral stones, Pocket size VS stationary high-end system echo images, dog(8kg)
trivial MR、Pocket size VS Stationary high end system echo images、dog(25kg)犬のMRのポケットエコー
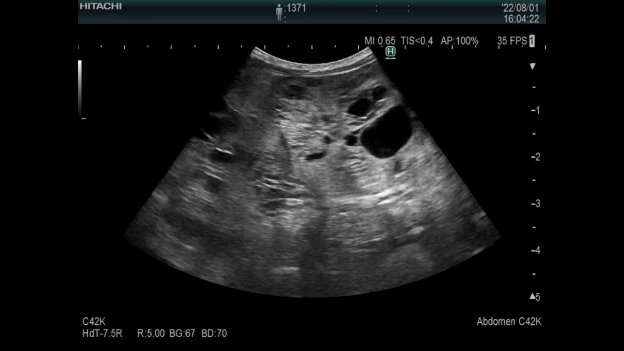
Echo image of hepatic stromal tumor in a dog(犬の肝臓間質肉腫のエコー)
Capnogram(Main VS. Side stream)
tracheal collapse in a dog(気管虚脱の犬)
ovary 16 days after heat , Pocket size vs Stationary high-end system、eho images、dog(8kg) 犬の卵巣
Liver ???? Pocket size vs Stationary high-end system、eho images、dog(7kg)
Bladder stones、Pocket size vs Stationary high-end system、eho images、dog(3kg)犬の尿石症
Urolithiasis, Pocket size vs Stationary high-end system、eho images、cat(4kg)( 猫の尿石症のポケットエコー)
Biliary sludge, Pocket size vs Stationary high-end system、eho images、Dog(28 kg)( 犬の胆泥症のポケットエコー)